
Getting a cavity filled is one of the most common dental procedures—and luckily, it’s also one of the simplest. Whether it’s your first time or just your first in a while, knowing what to expect after a tooth filling can help you feel more comfortable and confident during the healing process.
Most people feel completely back to normal within a few days. You might notice a little soreness or sensitivity, but that’s usually temporary. In this guide, we’ll walk you through what’s normal, how long recovery takes, what to avoid, and how to care for your teeth afterward.
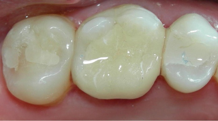
Here’s What a Tooth Filling Looks Like
Tooth fillings come in a few different types, and how they look depends on the material your dentist used. Some are barely noticeable, while others are more visible—especially on back teeth. If you’re unsure what kind of filling you got, don’t worry—your dentist can tell you exactly what was used and why it was chosen.
Tooth-Colored (Composite) Fillings

Source: Indy Dental Solutions
These are the most common today, especially for front teeth. Composite fillings are matched to the color of your natural enamel, so they blend in nicely. If someone looked closely, they might not even notice you’ve had a filling. This is the dental filling of choice in our btyDENTAL offices. Composite fillings bond directly to the tooth, which means we can preserve more of your natural tooth structure. With amalgam, on the other hand, the filling doesn’t bond on its own—so we have to create mechanical retention, like undercuts, which means removing more healthy dentin. If a composite filling ever fails, it’s usually a straightforward fix. But when an amalgam filling fails, it often leads to a cracked cusp, and in many cases, that means you’ll need a crown.
Silver (Amalgam) Fillings

Source: Avalon Dental Care
These are more noticeable due to their metallic color but are very durable. Dentists still use them for molars or areas that take on a lot of chewing pressure.
Other Materials (Gold, Ceramic)
Less common, but still used in some cases. Gold fillings are very durable and long-lasting, while ceramic (porcelain) is strong and tooth-colored but usually reserved for larger restorations like inlays or onlays.
Can You Get a Cleaning and a Filling on the Same Day?
Yes, you can—and it’s actually quite common. Many dental offices, including btyDENTAL, offer same-day cleanings and fillings if time allows. If your checkup or cleaning reveals a cavity, your dentist may be able to treat it during the same visit, saving you from booking a separate appointment.
It’s a convenient option for patients who want to take care of everything in one go, especially if the filling is small and straightforward. Just ask your dental providers if it’s possible when you schedule a dental cleaning!
What Happens When You Get a Cavity Filled?
A dental filling is a straightforward fix that restores a damaged tooth and prevents the decay from spreading. If you’ve never had one before (or it’s been a while), here’s a quick breakdown of what actually happens during the procedure:
Numbing the Area
Your dentist will start by applying a local anesthesia to numb the area around the tooth. This helps make the process completely pain-free. You might feel pressure, but you shouldn’t feel any pain. The amount of anesthetic used depends on the location of the tooth and your sensitivity.
Cleaning Out the Cavity
Once the area is numb, your dentist will use a small tool to gently remove the decayed portion of the tooth. If you’re wondering, “Will dentists remove food particles before fillings?”—yes, they do! They make sure the tooth is clean and dry before moving forward.
Placing the Filling
After cleaning, your dentist fills the space with a special material that seals and strengthens the tooth. There are several types of tooth fillings, including:
- Composite (tooth-colored)
- Amalgam (silver)
- Gold
- Ceramic or porcelain
Composite is the most common, especially for front teeth, since it blends in well with your natural tooth.
Shaping and Polishing
The dentist will shape the filling to match your bite, then polish it so it feels smooth and natural. You might be asked to bite down to make sure everything feels right—and they’ll adjust it on the spot if needed. The entire tooth filling procedure usually takes less than an hour, and in most cases, you’re good to go immediately after.
What to Expect After Tooth Filling
Once your appointment’s over, you’re pretty much good to go. Most people leave the dental office and get back to their usual day—whether that’s heading back to work, grabbing lunch, or picking up the kids.
The key things to know? You’ll want to go easy on the tooth that was treated, avoid sticky or hard foods for a bit, and be gentle when brushing. That’s really it. Recovery doesn’t require a long to-do list. So, here’s what you can expect right after your dental filling appointment:
Mild Sensitivity: It’s common to feel a little sensitivity to hot, cold, or pressure—especially if the filling was deep or close to the nerve. This can last for a few days to a couple of weeks but usually improves on its own.
Soreness or Tenderness: Your jaw or gums might feel slightly sore, especially if you had to keep your mouth open for a while during the procedure. A bit of tenderness around the filled tooth is normal and should ease up quickly.
Numbness Wearing Off: As the anesthesia fades, you may feel tingling in your lips, cheek, or tongue. If you’re wondering how long numbness after a dental procedure lasts, it usually wears off within 1 to 3 hours.
To help it go away faster, try gently massaging the area outside your mouth (never inside!) or applying a warm compress to increase blood flow. Some people also find that light physical activity helps the numbness wear off faster. If you’re wondering how to get rid of numbness more quickly, these steps can make a difference.
Eating After a Filling: You can usually eat soon after a filling—just wait until the numbness wears off so you don’t accidentally bite yourself. It’s best to stick with soft foods at first and avoid chewing directly on the filled tooth for a day or so. Skip hot drinks initially, as they can worsen sensitivity or accidentally burn you if your mouth is still numb.
Tooth Might Feel “Different”: It’s not uncommon to notice the filling when you bite down. It might feel slightly raised or just “off” at first. This usually goes away as your mouth adjusts, but if it still feels wrong after a few days, your dentist can easily adjust it.
How Long Does Numbness Last After a Cavity Filling
Tooth fillings don’t come with a long recovery timeline. In most cases, you can eat, drink, and go about your day right after the appointment—especially if the filling was small or straightforward.
That said, the tooth itself might need a little time to settle, especially if the cavity was deep or close to the nerve. Think of it less like “healing” and more like your tooth getting used to the new material inside it. Most people don’t notice anything unusual after the first day or two.
If you ever feel sharp pain when biting down, or if something just doesn’t feel right, it’s worth calling your dentist. They can make small adjustments to the filling so everything fits. Just remember the following:
- Most people resume normal routines the same day
- Some minor irritation or tenderness may last a day or two
- Call your dentist if discomfort is sharp, persistent, or worsens
How Long Does It Take to Get a Filling?
Most fillings are surprisingly quick—you’ll probably spend more time in the waiting room than in the dental chair. For a simple, single filling, the procedure usually takes about 20 to 30 minutes from start to finish.
If you’re getting multiple cavities filled in one visit, expect to stay a bit longer. Your dentist might treat 2–4 teeth during a single session, depending on their location and severity.
Here’s a general guide:
- 1 cavity: 20–30 minutes
- 2 cavities: 30–45 minutes
- 3–4 cavities: 45–60+ minutes
- Deeper or more complex fillings: Up to 75 minutes
Your dentist will let you know what to expect based on your situation—but either way, it’s not an all-day event.
Bonus tip: If you’re nervous about longer appointments, ask your dentist if you can break up multiple fillings over separate visits. Many offices are happy to do that.
Aftercare Tips – What to Do After Getting a Filling
Once your filling is done, there’s not much you have to do—but there are a few smart habits that help you stay comfortable and protect your fillings. Here are simple aftercare tips to follow:
- Wait Until You’re No Longer Numb to Eat: If your mouth was numbed, give it a little time before eating. You don’t want to accidentally bite your cheek or tongue. Once the numbness wears off, soft foods are your safest bet for the first meal.
- Chew on the Other Side (At First): To avoid putting too much pressure on the filled tooth right away, try chewing on the opposite side of your mouth for the rest of the day.
- Avoid Sticky, Crunchy, or Very Hot Foods: Caramel, nuts, or hot drinks can be a bit much right after a filling. Give your tooth a day to adjust before diving into anything chewy or extreme.
- Rinse Gently If Needed: If your mouth feels a little tender, rinse with lukewarm salt water (1/2 tsp salt in a cup of warm water). It’s soothing and helps keep things clean.
- Keep Brushing and Flossing: Just go gently around the area at first. A soft-bristled brush and gentle flossing are perfectly safe after a filling. There’s no big recovery plan here—just a bit of awareness and a light touch for the first 24 hours or so.
Can a Filled Tooth Get Another Cavity?
Yes—it’s possible for a tooth with a filling to get a new cavity, either around the edges of the filling or somewhere else on the same tooth. Fillings are durable, but they’re not invincible. Cavities can form if:
- Plaque builds up around the edge of the filling
- The filling cracks, wears down, or loosens over time
- You’re not brushing and flossing regularly
- Sugar and acid levels in your diet stay high
Even with a filling, regular oral hygiene is still key. Brushing twice a day, flossing daily, and visiting your dentist for teeth cleanings will help you avoid decay on filled teeth and extend the life of your dental work.
Signs Something Might Be Off With Your Fillings
If anything feels off, don’t wait—your dentist can catch small issues before they turn into bigger ones. Call for an emergency dental appointment with your local dentist if you experience:
- Sharp pain or discomfort when biting
- Sensitivity that doesn’t go away
- A rough edge or change in how your tooth feels
- Food getting stuck around the filling more often
Frequently Asked Questions After a Tooth Filling
You don’t have to put your oral hygiene routine on pause after a filling—just be a little gentle for the first day or so. But, it’s important to ask the right questions to ensure your filling stays. Here are some of our Washington patients’ most asked questions about tooth fillings:
Can I Brush My Teeth After a Filling?
Yes, absolutely. In fact, it’s encouraged. Just go easy on the filled area at first and use a soft-bristled toothbrush. If your tooth feels a little sensitive, try a toothpaste made for sensitive teeth.
Can I Floss After a Filling?
Yes again—but if the filling is between two teeth, you might notice the floss feels slightly tighter than usual. That’s normal. Slide the floss in gently and avoid snapping it down too hard. If it’s really difficult to floss, call your dentist—it might just need a quick adjustment.
Can I Use Mouthwash?
Yep. Just avoid anything alcohol-based right away, as it can irritate the area if your gums are a little tender. A mild, alcohol-free rinse is a safe choice.
Can I Drink Water With a Straw After a Filling?
If you had a silver/amalgam filling, your dentist might recommend avoiding straws for a few hours. The suction could dislodge a fresh filling if it hasn’t fully set. For composite (tooth-colored) fillings, it’s usually not an issue—but when in doubt, skip the straw until later.
Key Takeaways
Getting a cavity filled is a simple, everyday procedure—but knowing how to care for your tooth afterward makes a big difference. Whether it’s avoiding sticky foods for a bit, brushing gently, or just being aware of how the tooth feels, a little attention goes a long way.
Most people get back to their usual routine right away. Fillings don’t require major recovery time—just a bit of short-term care and your usual oral hygiene routine. But if something feels off, your dentist is just a call away.
If you’re dealing with a cavity—or just overdue for a checkup—btyDENTAL is here to help. With multiple convenient locations across Washington, our team makes dental care simple, comfortable, and better than yesterday. Book a dental filling appointment today!

